Early cervical carious lesions repaired using Composite Bonding
Aesthetic Custom-Fitted Removable Prosthesis
Click to Enlarge

Before

After
Internal whitening and composite bonding
Click to Enlarge

Before

After
Anterior composite build up of TSL
Click to Enlarge

Before

After
Broken LR6 with 4 fillings replaced with eMax full coverage
Click to Enlarge

Before

After
Rehab case: Invisalign, bonding, whitening and eMax Crowns
Click to Enlarge

Before

After
Anterior chip repair
Click to Enlarge

Before

After
Replacement of leaking composite
Click to Enlarge

Before

After
Airflow Cosmetic Stain Removal
Black Crown Margins
Click to Enlarge

Before

After
Broken Incisors Repaired with Composite
Click to Enlarge

Before

After
Broken Tooth Repair
Click to Enlarge

Before

After
Enamel Mottling Repaired with Composite-Whitening
Internal Bleaching
Click to Enlarge

Before

After
Lateral Incisor Composite
Click to Enlarge

Before

After
Leaking Composites Replaced
Missing UL2 Replaced with Implant, Whitening, Composites
Missing Upper Centrals Replaced with Implants
Missing UR5 Replaced with Implant
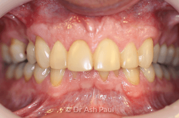
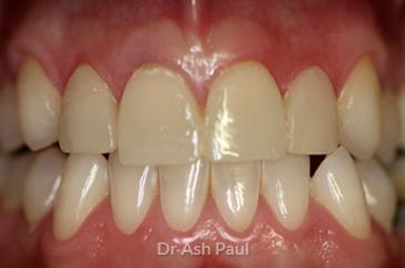
Replacement Crowns
Click to Enlarge

Before

After
Peg Shaped Laterals Composite Veneers
Click to Enlarge

Before

After
Severe Tooth Wear
Whitening
Child with Open Apex
Click to Enlarge

Before

After
Black Gaps Between Teeth (closed with high grade natural composite)
Click to Enlarge

Before

After
Cavity on the Biting Surface (Composite repair)
Click to Enlarge

Before

After
Damaged Incisors (Tooth Wear repaired with high grade cosmetic composite)
Click to Enlarge

Before

After
Failing Composites (removed and replaced with composite veneers)
Click to Enlarge

Before

After
Gaps between teeth and damaged through tooth wear
Click to Enlarge

Before

After
Missing Front Teeth (replaced with implant bridge)
Click to Enlarge

Before

After
Immediate Adhesive Bridge (replace missing tooth)
Missing Tooth UL2 (Fixed Full Coverage Bridge)
Click to Enlarge

Before

After
Replacing failed veneers with composite
Click to Enlarge

Before

After
Repair Upper Central Incisors
Click to Enlarge

Before

After
Repair Crack in Upper Central Incisors